回首頁 >> 案例分享 >> 全口重建
全口重建

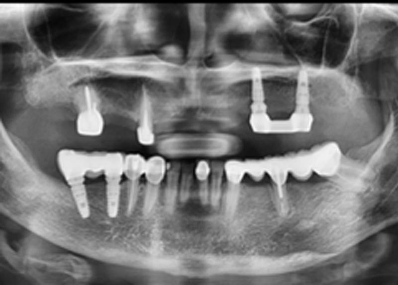
住在澎湖的蘇太太,因為牙齒鬆動,不方便就醫

長期缺牙後 產生咬合面歪斜 下巴偏斜 咀嚼困難

在家人的陪同鼓勵下

劉南佑醫師以經濟實惠的方式來進行全口重建

 

★先以臉部掃描 重新定位微笑曲線

★搭配電腦斷層 測量骨頭密度

精準植牙導航 植入植體

手術當天 可以立刻吃東西

★ 雷射軟組織止痛

手術後,蘇太太很滿意,微笑回澎湖

醫療院所查詢